
日本人成人の8割が患う静かな病気
歯周病という静かな脅威

歯周病の初期段階は痛みをほとんど感じないため、多くの方が気づかないまま進行してしまいます。虫歯がない方でも、年に数回の歯科健診を受けることで早期発見が可能になります。
日本人成人の8割が歯周病に罹患しているにもかかわらず、この簡単な習慣が実践できていないのが現状です。当院では、患者さんお一人おひとりのライフスタイルに合わせた継続可能な方法を共に考え、習慣化できるよう全力でサポートします。

歯周病のメカニズム
歯周病は、歯と歯肉の境目の清掃が不十分な状態が続くことで発症します。そこに多くの細菌が停滞し(歯垢の蓄積)、歯肉が炎症を起こして赤くなったり腫れたりします。
この段階では痛みがほとんどないため、静かに進行していきます。症状が進むと歯周ポケットと呼ばれる歯と歯肉の境目が深くなり、歯を支える土台(歯槽骨)が溶けて歯がグラグラと動くようになり、最終的には歯が抜け落ちてしまいます。
口のネバネバの正体とは

歯周病を引き起こす原因は細菌です。口腔内には400〜700種類もの細菌が生息しており、通常はそれほど害をもたらしません。しかし歯磨きを怠ったり、糖分の多い食べ物を摂取し続けると、細菌たちがねばねばした膜を形成し始めます。
これがバイオフィルム(プラーク・歯垢)と呼ばれるものです。この膜は非常に粘着性が強く、口をゆすぐ程度では除去できません。たった1mgという微量の中に、約10億個もの細菌が密集して生息しており、これらが虫歯や歯周病を引き起こします。
このねばねばした膜は、浴室の排水口に付着するぬめりに似ています。排水口のぬめりが付着した食べ物を口にしたいと思う方はいないでしょうし、掃除もせずにそのままの手で食事をする方もいないはずです。
このねばねばした膜を放置すると、次第に硬化して歯石という物質に変化します。歯石は歯の表面に強固に付着し、通常の歯磨きでは除去できなくなります。歯石の内部や周辺にさらに細菌が侵入し、歯周病を悪化させる有害物質を継続的に産生するのです。
歯周病の進行段階

健康な歯肉状態
薄いピンク色の歯肉で、歯と歯の間に歯肉が適切に入り込んで弾力があります。歯肉が引き締まっており、ブラッシング時に出血することはありません。

歯肉炎
歯肉が赤色に変化し、歯と歯の間の歯肉が丸みを帯びて膨らんできます。ブラッシング時に出血が見られ、腫れた歯と歯肉の間に歯垢が蓄積して症状が悪化します。

初期歯周病
歯周ポケットが3~4mm程度となり、歯を支える骨が少しずつ溶け始めます。歯肉の腫れや出血に加えて、口臭が気になることもあります。

中等度歯周病
歯茎が赤紫色に変化し、腫れが強くなります。歯ブラシ時に血液だけでなく膿も出るようになり、歯茎が下がって歯が長く見えるようになります。歯を支える骨もかなり溶けてしまいます。

重度歯周病
歯周ポケットが6mm以上となり、歯槽骨の大部分が失われます。歯が大きくグラつき、膿が出たり、強い口臭が発生します。最終的には歯が抜け落ちることもあります。
歯周病により溶けた骨は容易には回復しません。早期治療と予防が極めて重要です。
このような症状でお悩みの方へ

朝起きた時に口の中がネバネバする方、歯磨きをすると歯ブラシに血が付く方、ご家族から口のにおいを指摘された方は、歯周病の可能性があります。
歯茎を触ると痛みやかゆみを感じる方、鏡で見ると歯茎が赤く腫れているように見える方、せんべいなど硬いものが噛みづらくなった方も要注意です。以前より歯が長く見えるようになった方、前歯の位置が変わってきたような気がする方、他の歯科医院で歯周病治療を受けたが改善しなかった方、将来も自分の歯で食事を続けたい方は、ぜひ当院にご相談ください。
当院の歯周病治療の特色
一般的な保険診療から歯周再生療法などの歯周外科治療まで、症状に応じた治療を実施していますが、歯周病治療において最も重要なのは定期的な検査と評価です。口腔環境の変化を数値化して客観的に把握することで、的確なアドバイスと治療を提供します。
基本に忠実な歯周病治療

基本に忠実に取り組むことで、歯周病の多くは改善していきます。基本となるのは以下の3点です。
患者さんご自身が正しい歯磨きの方法を習得すること、歯科衛生士による検査とプロフェッショナルクリーニングを定期的に受けること、そして上記2つを継続することです。
簡単なことですが、日本人成人の8割が歯周病に罹患しており、この基本的なことが習慣化できていません。当院では、患者さんお一人おひとりのライフスタイルに合わせた継続可能な方法を共に考え、習慣化できるようサポートします。

担当歯科衛生士による継続的サポート
人それぞれ顔が異なるように、口腔内の状態も個人差があります。当院では患者さんお一人に担当の歯科衛生士がつき、定期的な検査やプロフェッショナルクリーニングはもちろん、歯ブラシ選びや歯磨き指導まで一貫して行います。
定期的な検査も担当制だからこそ、細かな変化まで把握できます。

マイクロスコープによる精密治療
様々な最新設備を備えているからこそ可能な、マイクロスコープを使用した精密治療を提供します。肉眼では確認できない微細な部分まで観察しながら、より精密な歯周病治療が期待できます。
歯周病治療で得られる効果
全身の健康維持

歯周病は大切な歯を失うだけでなく、全身疾患とも深い関わりがあります。様々な研究により、以下の病気を引き起こす原因・要因になることが判明しています。
歯周病が引き起こすことが明らかになった病気や症状には、動脈硬化、早産や低体重出産、誤嚥性肺炎、がん(特に食道がん)、糖尿病の悪化、心疾患、脳梗塞があります。歯周病を治療することで、これらの病気になるリスクを軽減することが期待できます。
生涯自分の歯で食事を楽しめる

歯周病は歯を失う原因の第1位です。当院での歯周病治療により進行を食い止めることで、ご自身の歯を長く維持することが期待できます。
入れ歯やインプラントではなく、生まれ持った歯で食事を楽しめることは、何にも代えがたい価値があります。
口臭の悩みからの解放

歯周病菌が産生する「揮発性硫黄化合物(VSC)」というガスの臭いで、最も多いのが玉ねぎの腐ったような臭いの「メチルメルカプタン」という種類のものです。
メチルメルカプタンは毒性が強いことから、口臭の原因となるだけでなく、歯周病を悪化させる要因の一つと考えられています。当院での歯周病治療により、口臭の悩みから解放されることが期待できます。
当院での歯周病治療の流れ

詳細な現状把握
歯周病検査では以下の項目を詳しく調べます。歯周ポケット(歯と歯肉の隙間)の深さを測定し、歯周ポケット測定時の出血を確認します。
また、歯のグラつきを確認し、汚れ(バイオフィルム)や歯石の付着状況も詳しく調べます。レントゲン写真では歯を支えている骨の状態を確認します。

正しい歯磨きの習慣化サポート
正しい歯磨きを毎日実践するコツは習慣化させることです。定期的な検査と歯磨き指導を通して、正しい歯磨きの習慣化をサポートします。
患者さんの口腔状態に合わせて、最適な歯ブラシや歯磨き粉もご提案いたします。

症状に応じた治療
軽度の歯周病であれば、歯石除去と正しいブラッシングで改善していきます。中等度以上の場合は、歯周ポケット内の深い部分の清掃や、必要に応じて歯周外科治療を行います。
重度の場合には歯周組織再生療法も検討いたします。
歯周組織再生療法
歯周病治療は基本的な治療が重要ですが、状況に応じて再生療法を取り入れる場合があります。歯周再生療法は、その多くが日々進化・改良が進む発展著しい分野です。
当院では日本臨床歯周病学会所属の歯科医師が日々進化する技術を取り入れ、適切な情報と手技を患者さんに提供しています。
※再生療法はすべての症例で適応できるわけではなく、適応症例が限定されます。
エムドゲインを使った治療プロセス
歯周ポケットの測定を行った後、歯肉の切開を行います。歯肉の剥離により歯根を露出させ、歯根表面の清掃を徹底的に行います。
その後、エムドゲインの塗布を行い、最後に縫合して治療完了となります。
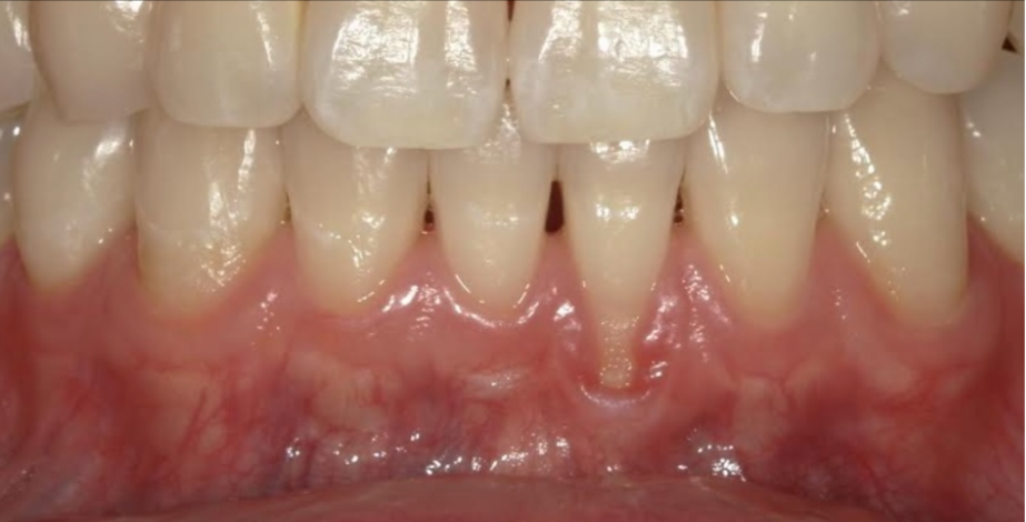
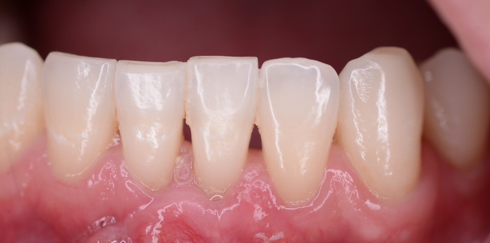
症例
歯肉退縮が気になり来院されました
before

after

| ① 患者様の主訴 | 歯肉退縮 |
| ② 診断結果 | |
| ③ 治療内容 | 歯肉移植(結合組織移植) |
| ④ 治療後経過 | 良好 |
| ⑤ 治療期間 | 1ヶ月 |
| ⑥ 治療費用 | 約10万円 |
| ⑦ リスク・副作用 | 外科処置に伴う出血、腫脹、疼痛 |
歯周病セルフチェック

以下の項目でいくつ当てはまるかチェックしてみましょう。
全体的な症状
朝起きた時に口の中がネバネバする、口臭を指摘された・自分で気になる、歯磨きの時に出血するといった症状があります。
歯肉の症状
歯肉が赤く腫れている感じがする(健康な歯肉は鮮やかなピンク色)、歯茎がむず痒い時がある、痛い時がある、歯が長くなった気がする、歯茎がやせた気がする、歯肉を押すと血や膿が出るといった症状があります。
歯の症状
硬い食べ物が噛みにくい、前歯が出っ歯になってきたり、歯と歯の間に隙間ができてきた、歯と歯の間に物が詰まりやすい、歯が浮いたような気がする、歯が揺れている気がするといった症状があります。
1~3個当てはまる方は、歯周病の可能性があるため軽度のうちに当院での治療をお受けください。4個以上当てはまる方は、中等度以上に歯周病が進行している可能性があります。早期に当院での歯周病治療をお受けいただくことをお勧めします。
歯周病の重症化について

歯周病の重症化について
初期の歯周病は歯ぐきの腫れや出血、冷たいものを飲むとしみる、口臭など、あまり深刻でない症状のため、放置してしまう方が非常に多いのが現実です。しかし、これがさらに重症化する原因となっています。
そのまま放置すると、歯ぐきや歯を支える歯槽骨まで溶かしてしまいます。そのため、歯がグラグラしてしまい、最終的には歯が抜け落ちるといった深刻な状況に発展することがあります。
歯周病でお悩みの方は当院までご相談ください。当院では、基本に忠実な歯周病治療を中心に治療しています。重症化した歯周病には、歯周組織再生療法という治療法も実施しています。
他院で治療できないと言われた方も、まずは当院までご相談ください。専門的な知識と技術で、あなたの歯を守る最善の治療法をご提案いたします。