
第二の永久歯で自然な噛み心地を取り戻す
インプラント治療の概要

インプラントとは、歯を失った顎の骨(顎骨)に体になじみやすい材料(生体材料)で作られた人工歯根を埋め込み、その上に人工歯を装着する治療法です。天然歯に近い構造のため、天然歯に近い噛み心地があります。インプラントが「第二の永久歯」と言われるゆえんです。
インプラントは基本的に三つのパーツから構成されています。顎骨の中に埋め込まれる歯根部(インプラント体)、インプラント体の上に取り付けられる支台部(アバットメント)、歯の部分に相当する人工歯(上部構造)です。
インプラント体の材質はチタンまたはチタン合金で、チタンは人の骨と結合する性質があり、骨に埋め込んでしばらくすると強固に結合します。また、非常に金属アレルギーを起こしづらい物質です。
このような方に最適です

事故や虫歯で歯を失い、自然な噛み心地を取り戻したい方、入れ歯が口に合わず、お困りの方、ブリッジ治療で隣の健康な歯を削りたくない方にお勧めします。
見た目を気にせず、思いっきり笑いたい方、しっかりと咬んで、美味しく食事を楽しみたい方、長い間使える歯の治療をお求めの方にも効果的です。
当院のインプラント治療の特色

当院の強みであるインプラント治療
インプラント治療は当院の強みです。豊富な経験と専門知識により、他院で断られたケースでも治療できることが多いです。諦める前に、まずは当院にご相談ください。
CGで咬み合わせと見た目とメンテナンス性を実現
一度失ってしまった歯を再現する上で重要なのは、咬み合わせ・見た目・メンテナンス性です。これらを熟慮した上で完成予想図のCGを作り、逆算してインプラントの治療計画を立てます。3次元のCTレントゲンを使用して精密な診断を行います。
インプラントの専門家「口腔外科医」と連携治療
外科専門の歯科医師を口腔外科医(こうくうげかい)と呼びます。一般歯科医が毎日虫歯を治療するように、口腔外科医は毎日のように切開や縫合を繰り返し、外科治療を行っています。 当院では総合病院のように各専門分野の歯科医師がおり、専門的な治療を受けられます。外科治療であるインプラントを植える治療は、口腔外科医または日本口腔インプラント学会所属の歯科医師が行います。
世界4大インプラントメーカーのアストラテックインプラントを使用
世界には数百のインプラントメーカーがあり、コスト重視のメーカーから品質重視のメーカーまで様々です。当院では世界4大メーカーのひとつであるアストラテックインプラントというメーカーを使用して治療を行います。
アストラテックインプラントは、歯の中での安定性が高いと言う点で非常に高品質です。中にはコスト重視のメーカーやマイナーなメーカーもありますが、製品の滅菌管理や品質、会社自体の安定性に欠けてしまいます。
また、万が一、将来的に修理が必要になった時などのアフターサポートを考えると、アストラテックは、世界的企業で企業としての安定性も高く、またアフターサポートがしっかりしているので安心です。
高度な骨造成手術にも対応
サイナスリフト

上顎の奥歯の部分で骨の厚みが不足している場合に行う治療です。上顎洞(副鼻腔)の底部を押し上げて、その部分に骨を造成します。これにより、十分な骨の厚みを確保してインプラントを埋入できます。
適応症例
上顎の奥歯を失った部位で、上顎洞までの骨の高さが10mm以下の場合に適応となります。特に、歯周病や長期間の入れ歯使用により骨が吸収してしまった患者さんに有効です。通常のインプラント治療では困難とされる症例でも、サイナスリフトにより治療が可能になります。
手術の流れ
手術は局所麻酔下で行い、上顎洞の側壁から小さな窓を開けて、上顎洞底部の膜を慎重に押し上げます。その後、人工骨や自家骨を充填し、骨の再生を促します。治癒期間は6〜8ヶ月程度を要し、十分な骨量が確保された後にインプラントを埋入します。
治療成功のポイント
当院では、3次元CTによる精密な診断を行い、上顎洞の形態や骨質を詳細に評価します。経験豊富な口腔外科医が執刀し、術後感染のリスクを最小限に抑えるため、抗生物質の適切な使用と定期的なメンテナンスを行います。
GBR(骨再生誘導法)

骨の幅や高さが不足している部分に、人工骨や自家骨を移植し、特殊な膜で覆って骨の再生を促す治療法です。骨が不足している部位でも、確実にインプラントを埋入できる土台を作ることができます。
治療が必要なケース
外傷や歯周病により骨が大きく失われた場合、先天的に骨量が不足している場合、抜歯後の治癒不良により骨欠損が生じた場合などに適応されます。特に前歯部では審美性の観点から、十分な骨量の確保が重要となります。
使用する材料と手法
当院では、患者さんの症状に応じて人工骨(β-TCP、ハイドロキシアパタイト等)または自家骨(下顎枝、オトガイ部から採取)を使用します。骨移植材の上に生体適合性の高いコラーゲン膜やチタンメッシュを配置し、骨の再生を促進します。
治療期間と注意点
GBR治療後は4〜6ヶ月の治癒期間が必要です。この期間中は移植部位への過度な刺激を避け、適切な口腔衛生管理を行うことが重要です。喫煙は骨の治癒を大幅に阻害するため、治療期間中は禁煙していただきます。
FGG(遊離歯肉移植術)

歯肉の厚みが不足している場合や、角化歯肉が少ない場合に行う治療です。口蓋から歯肉を移植することで、インプラント周囲の歯肉環境を改善し、長期的な安定性を確保します。
角化歯肉の重要性
角化歯肉とは、歯の周囲にある硬く厚い歯肉のことで、ブラッシング時の機械的刺激から歯肉を保護する重要な役割を果たします。インプラント周囲に十分な角化歯肉がないと、歯肉退縮やインプラント周囲炎のリスクが高まります。
移植手術の詳細
口蓋から約1.5〜2mm厚の歯肉を採取し、インプラント周囲の不足部位に移植します。移植片は受容部位の血管と結合し、約2週間で生着します。採取部位は特殊な保護材で覆い、痛みを最小限に抑えます。
術後管理と効果
術後1週間は軟らかい食事を心がけ、移植部位への刺激を避けていただきます。移植した歯肉は約3ヶ月で周囲組織と調和し、自然な色調と質感を獲得します。これにより、インプラント周囲の清掃性が向上し、長期的な安定性が確保されます。
インプラント治療で得られる効果

天然歯に近い噛み心地
チタンの人工歯根は強く骨と結合するため、天然歯と同じようにしっかり噛むことができます。硬いせんべいやお肉も、違和感なく召し上がっていただけます。今まで遠慮していた食べ物も、再び楽しめるようになります。
天然歯に近い構造と見た目
インプラントは人工歯根と上部構造(人工歯)、それらをつなぐアパットメントで構成されています。構造物はほぼ天然歯と同じで、入れ歯やブリッジのように余計なパーツがないため、見た目も美しく仕上げることができます。
口を開けて笑っても、インプラントだと気づかれることはほとんどありません。
残っている健康な歯に負担をかけない
当院では、残っている健康な歯に負担をかけないインプラント治療を行います。インプラントは単独で口腔内に設置できるため、ブリッジのように隣の歯を削る必要もなく、入れ歯のように隣の歯にフックをかけることもありません。
大切な健康な歯を守りながら、失った歯の機能を回復できるのがインプラント治療の大きな利点です。
痛みを抑えた安心の治療

治療中の痛みを和らげる工夫
当院では、リラックスして治療を受けられるよう、可能な限り痛みを抑えた治療を行っています。表面麻酔と電動麻酔機を使用した麻酔導入、日本で取り扱える針の中で極細の針を使用するなど、複数の手順で痛みを抑えて治療します。
静脈内鎮静法
痛みが苦手な方は、日本歯科麻酔学会の専門医による静脈内鎮静法という麻酔の対応も可能です。うとうとしている間に処置が終わっているような治療で、日帰りです。「気がついたら終わっていた」というお声をよくいただきます。
患者さんの状態に合わせた手術方法
当院では、患者さんの骨の状態や治療計画に応じて、一回法または二回法の手術を選択いたします。一回法は手術を1回で完了させる方法で、二回法は手術を2回に分けて行う方法です。
骨の量が十分にあり硬い場合には一回法を、骨の量が少なく骨移植が必要だったり骨が軟らかい場合には二回法を選択いたします。
当院のインプラント治療の流れ

まずは詳しいお話を聞かせてください
まず、患者さんのお悩みやご希望を詳しくお聞きし、口腔内の状態を詳細に検査いたします。3次元CTレントゲンや口腔内スキャナーを使用し、精密な診断を行います。どんな小さなことでも、遠慮なくお話しください。

あなただけの治療計画を作ります
検査結果をもとに、患者さん一人ひとりに合った治療計画を立案いたします。CGを使用した完成予想図をお見せしながら、治療期間や費用について詳しくご説明いたします。納得いただけるまで、何度でもご説明いたします。

治療期間はゆっくりお待ちください
インプラント治療では、インプラント体と骨が結合するまでの治癒期間が必要です。骨の状態によって異なりますが、一般的には上顎で5ヶ月前後、下顎で3ヶ月前後の期間を要します。
全体の治療期間は3〜10ヶ月程度となります。この期間は、口腔内でしっかりとした土台が作られる大切な時間です。
長く使っていただくためのメンテナンス

インプラントにも歯周病があります
インプラント自体は虫歯になりませんが、周囲の歯茎や骨に炎症が起こるインプラント周囲炎になる可能性があります。インプラントと歯肉の間に汚れがたまらないようにメンテナンスをすることで、良い状態を継続できます。
また、インプラントには天然歯のような歯根膜がないため、清掃が特に大切となります。
キャリアのある歯科衛生士がお手伝いします
インプラントのメンテナンスはキャリアのある歯科衛生士が担当し、良い状態で安定できるようにお手伝いします。専用の器具を使って、丁寧にクリーニングを行います。
定期検診でしっかりチェック
当院では、3〜6ヶ月ごとの定期検診をお勧めしております。レントゲン検査や咬み合わせのチェックにより、問題を早めに見つけて、適切な対応を行います。長くお使いいただくために、欠かせない時間です。
治療を受けられない場合もあります
全身の健康状態が大切です
手術が伴うため誰でも受けられるというわけにはいきません。心疾患などで症状が重い人や安定していない人、糖尿病で血糖値がコントロールされていない人では治療が困難になります。
また、骨粗しょう症がある場合や、喫煙習慣がある方は、治療の結果に影響する場合があります。
骨の量が足りない場合
インプラント治療には十分な骨量が必要ですが、骨量不足の場合でも前述のサイナスリフトやGBRなどの骨造成手術により対応できる場合があります。詳しい検査により、患者さんに合った治療方法をご提案いたします。
年齢について
成長発育中のお子様には基本的にはインプラント治療はしません。一般に女性は18歳、男性は20歳くらいになると骨の成長が止まるのでそれ以降に治療を始めるのがよいと言えます。
高齢の方でも、抜歯などの手術を受けられる健康状態であれば治療は可能です。
治療費について
自費診療
インプラント治療は保険適用外の自費診療となります。他の治療方法と比較すると期間や費用はかかりますが、機能性や審美性、長期的な安定性において非常に優れた治療法です。分割払いについてもご相談いただけます。
当院の最新設備

大きな歯科医院だからこそ導入できる設備
当院では、3次元CTレントゲン、口腔内スキャナー、マイクロスコープなど、最新の診断・治療機器を完備しております。これらの機器により、より精密で安全なインプラント治療を実現しています。
地域最大級の規模だからこそ、充実した設備でお迎えできます。
治療後も安心の体制
治療後も長期的にお手伝いできるよう、経験豊富な歯科衛生士による専門的なメンテナンス体制を整えております。患者さん一人ひとりの状態に応じたオーダーメイドの管理を提供いたします。
他院で断られた方もご相談ください

当院では、豊富な経験と高度な技術により、他院で断られたケースでも治療できることが多いです。骨量不足や複雑な症例でも、サイナスリフト、GBR、FGGなどの高度な治療法を駆使して対応いたします。
諦める前に、まずは当院にご相談ください。きっと解決策が見つかります。
インプラント治療でお悩みの方へ

インプラント治療は、機能性・審美性ともに優れた治療法ですが、費用や時間もかかりますし、外科的手術なので身体的負担もかかります。治療にあたって、簡単に決められる決断ではないかと思います。
また、実際に当院で治療を受けている方でお悩みの方は、歯科医師にご相談ください。わかりづらいことはご質問ください。
当然ですが、当院では無理にインプラント診療を勧めることは一切ありませんし、他に相談したい方がいたら是非相談してから決めてください。ご安心ください。
患者さんお一人おひとりが大切にする価値観によりそい、お一人おひとりにとってよりよい治療を行います。
症例
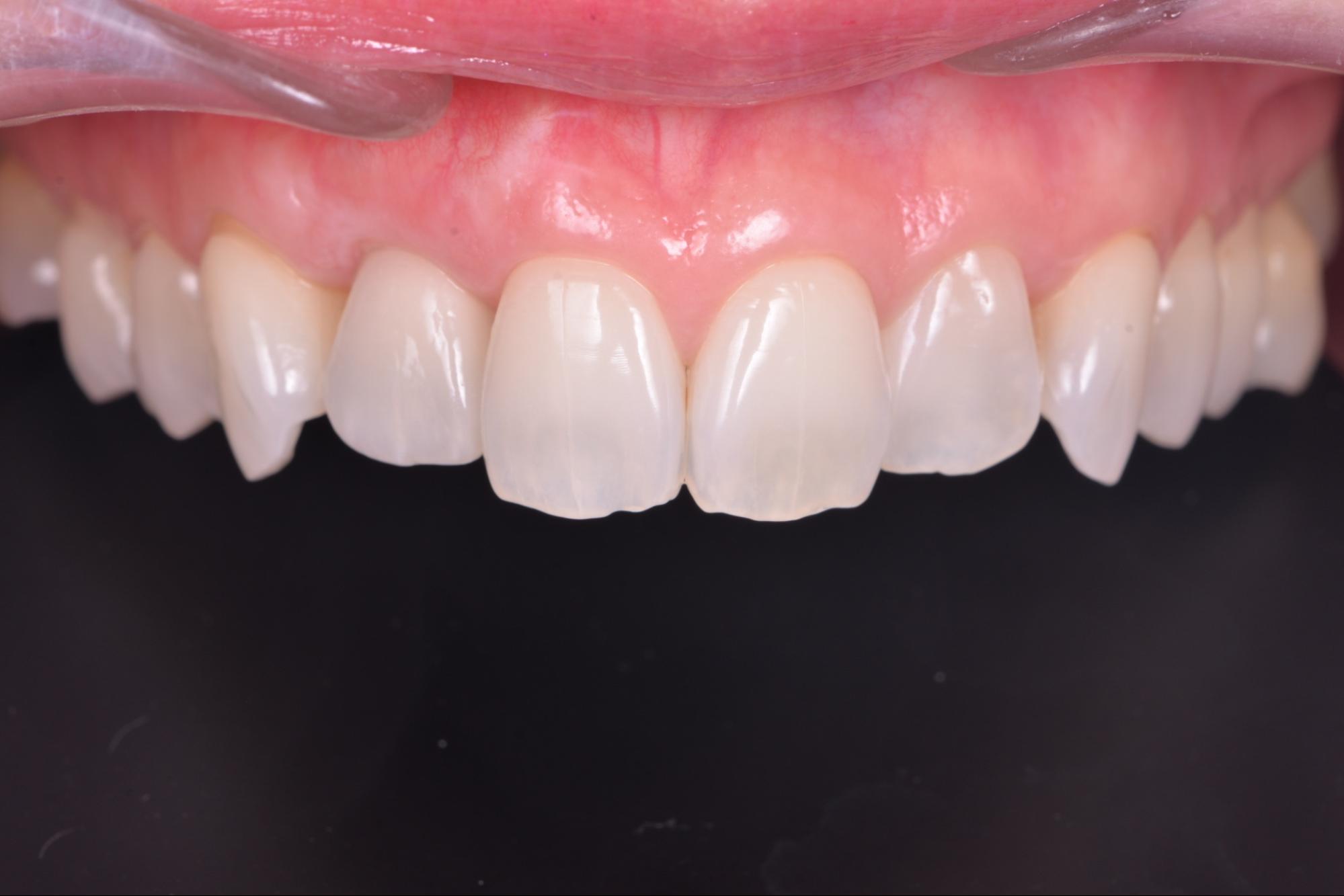
右上の見た目が気になる、少し痛みがあるとのことで来院されました。
before

after

before

after

| ① 患者様の主訴 | 右上の前歯が気になる |
| ② 診断結果 | 歯根破折 |
| ③ 治療内容 | 抜歯と同時にインプラント埋入、歯肉移植、骨造成 |
| ④ 治療後経過 | 良好 |
| ⑤ 治療期間 | 約6ヶ月 |
| ⑥ 治療費用 | 約90万 |
| ⑦ リスク・副作用 | 外科処置に伴う出血、腫脹、疼痛 |
第二の永久歯で豊かな人生を

インプラント治療は、失った歯の機能を最も自然に回復できる治療法です。最新の技術と経験豊富な専門医により、安全で確実な治療を提供いたします。
天然歯に近い噛み心地と美しい見た目を手に入れ、豊かな食生活と自信に満ちた笑顔を取り戻しませんか。まずはお気軽にご相談ください。あなたの理想とする第二の永久歯を実現するお手伝いをさせていただきます。